osteoporose na coluna

OSTEOPOROSE NA COLUNA

O que é Osteoporose na Coluna?

Muitas pessoas, especialmente aquelas com osteoporose na coluna, têm dores na coluna de forma crônica e algumas vezes essa dor pode ser causada por fraturas de osteoporose na coluna. Quando há osteoporose na coluna, essas fraturas são relativamente freqüentes e às vezes sem trauma significativo associado.

Osteoporose na Coluna - Como ocorre a fratura?

fratura da coluna vertebral é qualquer fratura envolvendo os ossos (vértebras) que compõem a sua coluna. Fraturas vertebrais podem causar dor nas costas intensas, o que pode tornar difícil para você ficar de pé, andar, sentar ou levantar objetos.

Fraturas da coluna, muitas vezes, são também referidas como fraturas por compressão vertebral. Quando o osso vertebral fica enfraquecido, pode quebrar facilmente de uma forma que faz com que ele entre em colapso e haja uma diminuição na sua altura. A maneira mais eficaz de prevenir fraturas por compressão vertebral é prevenir e tratar a osteoporose.

osteoporose na coluna

Em alguns casos, a dor de uma fratura na coluna vertebral pode ser tão debilitante que você tem grande dificuldade em fazer pequenos movimentos. Certos tipos de fraturas de coluna também podem fazer você perder a sua independência se houver algum acometimento neurológico associado.

Quem está em maior risco de fraturas da coluna?

As mulheres, principalmente na faixa etária acima dos 50 anos, estão em maior risco de fraturas vertebrais. Aos 80 anos, cerca de 40% das mulheres provavelmente terão alguma fratura na coluna vertebral. Estimativas indicam que o número de fraturas vertebrais que ocorrem a cada ano é de cerca de 700.000 casos.

Os homens também podem ter uma fratura na coluna vertebral, apesar de serem menos propensos à osteoporose. Com o passar dos anos, seus ossos podem se tornar cada vez mais fracos e com menos trabeculações ósseas, levando à condição conhecida como osteoporose. O esforço necessário para apenas segurar seu corpo ereto pode ser suficiente para causar uma fratura vertebral quando alguém tem osteoporose. Em muitos casos de osteoporose intensa, a fratura ocorre espontaneamente sem trauma associado.

Fatores de Risco importantes:

  • Idade acima de 50 anos
  • Sexo feminino
  • Menopausa
  • História familiar de osteoporose
  • Baixo peso corporal
  • História prévia de fratura
  • Baixos níveis de Cálcio e Vitamina D
  • Dieta irregular (poucas frutas/legumes/verduras)
  • Sedentarismo
  • Tabagismo
  • Falta de exposição ao sol
  • Uso crônico de corticoides

Quais são os sintomas de uma fratura da coluna vertebral?

Embora muitas pessoas relatem algum tipo de dor nas costas, apenas um terço das fraturas da coluna realmente causam sintomas dolorosos. Isso faz com que o diagnóstico precoce de fraturas de coluna por osteoporose seja extremamente difícil. Fraturas na coluna lombar estão associadas com maior dor e perda de função do que as fraturas da coluna torácica.

Os sintomas mais comuns de uma fratura na coluna vertebral são:

  • Dor súbita nas costas
  • Agravamento da dor quando em pé ou andando
  • Dificuldade e dor nos movimentos de flexão/torção do tronco
  • Perda de altura
  • Deformidade da coluna vertebral – a curva, “corcunda” que forma também é conhecida como cifose
  • Sintomas dolorosos/sensitivos ou motores associados em algum membro
osteoporose na coluna

Qual é o tratamento para as fraturas da coluna?

Primeiramente, é necessária a avaliação de um ortopedista especialista em coluna que irá prescrever medicamentos que desacelerem o processo de desgaste ósseo, além de orientar exercícios que vão prevenir quedas e, consequentemente, fraturas na coluna.

Todavia, quando há a presença de uma fratura na coluna, o tratamento inicial sempre será a imobilização (colete). Na maioria dos casos o tratamento clinico com o colete para coluna e as avaliações periódicas são suficientes até a consolidação da fratura.

osteoporose na coluna

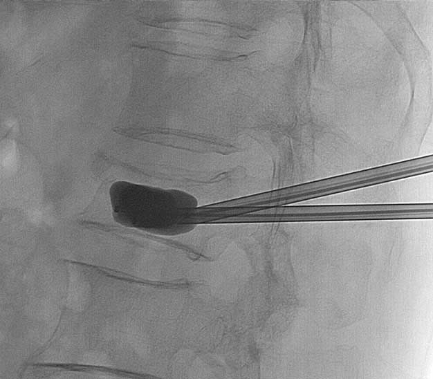
Caso haja persistência da dor, sinais de instabilidade da fratura e/ou sintomas neurológicos associados, o tratamento cirúrgico pode ser indicado. Atualmente existem procedimentos minimamente invasivos como a cifoplastia (injeção percutânea de cimento na fratura) e até procedimentos de descompressão e fixação aberta. Cada caso tem uma indicação específica e deve ser direcionado pelo médico especialista.

As radiografias e possivelmente uma tomografia computadorizada ou ressonância magnética provavelmente serão solicitados pelo especialista para determinar o diagnóstico correto. O seu médico irá analisar a imagem da coluna vertebral e determinar a localização e a gravidade da fratura.

O tratamento inicial é com medicações para dor, para permitir uma melhora dos sintomas dolorosos rapidamente.

O tratamento definitivo irá depender do grau de estabilidade da fratura e sintomas associados.

De forma geral, o tratamento conservador, quando indicado, é realizado com o uso de coletes para estabilização do segmento da coluna vertebral.

Alguns tipos de fraturas podem ter indicação cirúrgica devido a instabilidade local ou até acometimento neurológico associado. Nesses casos, procedimentos minimamente invasivos como a cifoplastia (injeção de cimento) podem ser necessários. Casos mais graves com grande instabilidade/lesão neurológica ou fraturas múltiplas, podem requerer cirurgia aberta de artrodese.

osteoporose na coluna
osteoporose na coluna
Publicações científicas:

Sociedade Brasileira de Coluna – https://www.coluna.com.br/

AO SPINE – https://aospine.aofoundation.org/

Sociedade norte americana de cirurgia de coluna – https://www.spine.org/

Foto de Dr. Luciano Pellegrino

Dr. Luciano Pellegrino

Médico Ortopedista Especialista em Coluna com Mestrado em Ortopedia e Traumatologia pela Faculdade de Ciências da Santa Casa de São Paulo. É Especialista em Cirurgia da Coluna Vertebral e Médico do Núcleo de Coluna do Hospital Sírio Libânes.

Deixe um comentário

O seu endereço de e-mail não será publicado. Campos obrigatórios são marcados com *