CIRURGIA DE ESCOLIOSE
Médico Cirurgião Especialista Em Coluna - Dr. Luciano Pellegrino
Cirurgia de escoliose – Saiba como é realizada, os riscos e a recuperação após essa cirurgia especializada.
É compreensível que a cirurgia de escoliose seja um motivo de grande preocupação por parte do paciente e de sua família.
A indicação da cirurgia de escoliose deve ser avaliada no contexto global do paciente e o atendimento médico a essa família deve ser o mais humano e esclarecedor possível.
A escoliose é um problema estrutural da coluna, que pode ser desencadeado por fatores neurológicos, idiopáticos (a forma mais comum) ou devido a uma condição progressiva sob influência externa, como o estilo de vida do paciente ao longo do tempo.
Em quadros congênitos, onde o paciente nasce com uma alteração na coluna, geralmente são notadas malformações vertebrais e outras alterações podem estar presentes em órgãos distantes (coração, rins, etc).
Ter o acompanhamento de um médico especialista em coluna auxilia no diagnóstico e tratamento para a escoliose.
Este profissional pode indicar tratamentos complementares, além da utilização de órteses que atuem na correção do desvio postural.
Quais os sintomas da escoliose?
Dependendo do grau, a escoliose pode causar problemas às outras estruturas adjacentes da coluna, como os pulmões e coração, visto que a curvatura anormal da coluna para os lados pode comprimir os órgãos.
Além da compressão, em curvas acentuadas, o paciente pode apresentar dores constantes na região da coluna e assimetria em outras partes do corpo, como os ombros, quadris e pernas.
Primeiramente, há necessidade de um diagnóstico preciso da escoliose por parte do seu médico especialista em coluna.
Determinar se há causas secundárias ou se o diagnóstico é de uma escoliose sem causa definida (escoliose idiopática).
É importante também esgotar os possíveis tratamentos clínicos e avaliar, de acordo com o grau da curva atual e o potencial de crescimento do paciente, se há realmente a necessidade de um procedimento cirúrgico.
Em muitos casos de escoliose, medidas clínicas como observação, colete para coluna e reabilitação motora são o tratamento inicial.
Diagnóstico e tratamento da escoliose
Casos de curvas progressivas e que atingem determinados valores angulares é que podem requerer cirurgia.
Uma vez indicada a cirurgia, é fundamental iniciar todo um preparo para analisar as condições do paciente.
Os exames pré-operatórios, avaliação anestésica, etc, possibilitam determinar o melhor momento para realizar o procedimento e estimar o tempo de recuperação, além de diminuir os riscos.
A cirurgia de escoliose é um procedimento consagrado há muitos anos e avanços consideráveis ocorreram nessa área. Atualmente, estão disponíveis diversos procedimentos cirúrgicos e técnicas de correção.
A cirurgia de escoliose é sempre indicada?
A cirurgia de escoliose só é indicada em casos em que as opções para tratamentos conservadores se esgotaram e não se obtiveram resultados significativos na redução da alteração estrutural da coluna.
Com acompanhamento médico e tratamento precoce, em muitos casos não há indicação cirúrgica. O procedimento é considerado como a última opção, pois é uma operação de alta complexidade.
Pacientes que possuem um quadro progressivo da doença e curvaturas mais graves (acima de 50 graus) geralmente são candidatos à realização da cirurgia de escoliose.
A idade do paciente é considerada para avaliar se a indicação da cirurgia de escoliose representa, realmente, uma vantagem à qualidade de vida, em relação ao quanto a curvatura poderá progredir e a capacidade de recuperação.
Todavia, o ortopedista especialista em coluna orientará qual a técnica mais efetiva a ser realizada conforme avaliação do quadro do paciente, antes de ser submetido ao procedimento.
Como é feita a cirurgia de escoliose?
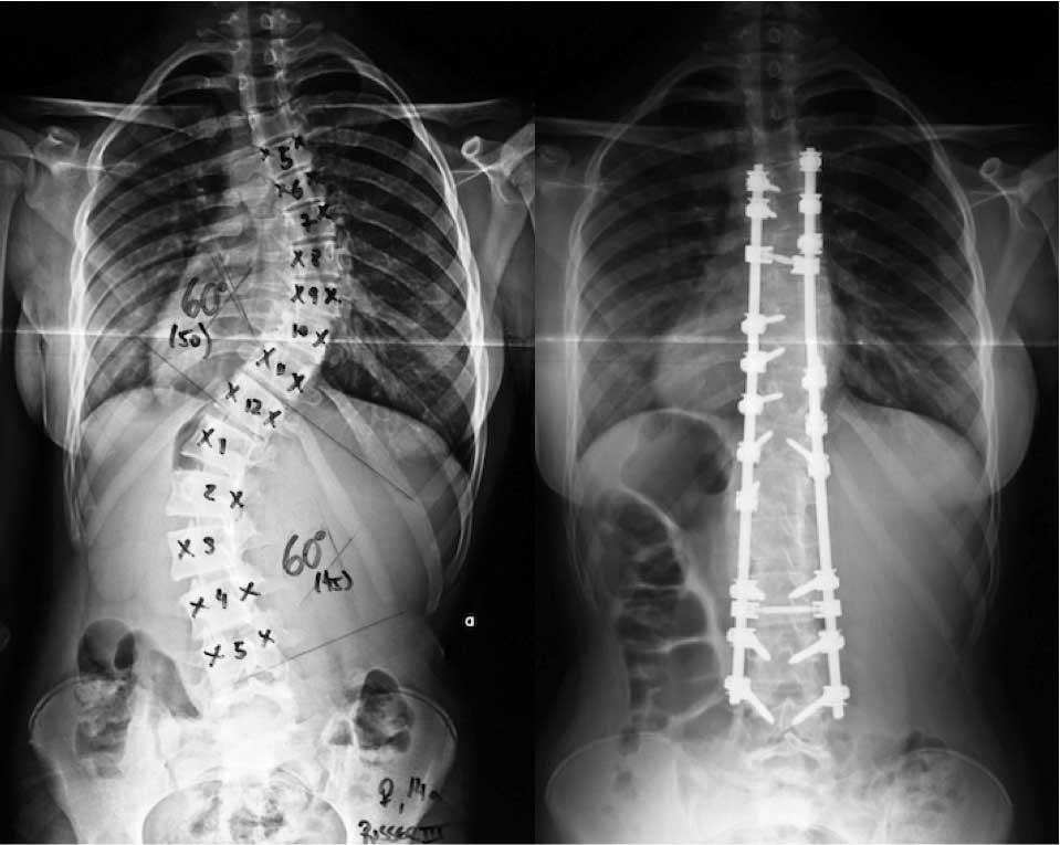
Em adolescentes e adultos, o procedimento padrão é a correção da curva com artrodese (fusão óssea). Ela é necessária para manter a estabilidade e rigidez da coluna após a cirurgia.
Para isso é usada uma combinação de implantes metálicos na coluna (parafusos, hastes, etc) e enxerto ósseo, alinhando e estabilizando as vértebras da coluna através da fixação de parafusos ligados por hastes longitudinais, formando um bloco único que além de corrigir a deformidade, evita uma nova deformidade naquele segmento.
Nesse tipo de procedimento, não é necessária qualquer imobilização no pós-operatório.
Em crianças, muitas vezes técnicas alternativas podem ser utilizadas para não realizar a fusão óssea no segmento a ser corrigido, e assim permitir o crescimento da coluna durante o tratamento (técnicas de instrumentação para crescimento sem artrodese, gessos seriados, etc).
Quanto tempo dura uma cirurgia de escoliose?
A cirurgia de escoliose pode durar de 3 a 5 horas. Depende muito do grau da curvatura, idade do paciente e complexidade da curva.
Se contarmos todo o procedimento anestésico e a preparação da monitorização neurofisiológica intraoperatória (sistema instalado no paciente antes da cirurgia para testar os nervos e garantir a segurança neurológica na correção), o tempo total é em média de 5 horas.
Como são procedimentos de grande porte, normalmente o tempo de internação hospitalar varia de 3 a 4 dias.
Quais são os riscos da cirurgia de escoliose?
Toda cirurgia tem riscos e esta é considerada de grande porte.
A correção a ser feita será no limite seguro para não apresentar riscos à medula, que são protegidas pelas vértebras. Essa avaliação neurológica é feita em tempo real durante a cirurgia por um sistema chamado monitorização neurofisiológica (potencial evocado).
Com exames específicos, é possível medir o grau de correção conforme a flexibilidade da inclinação apresentada nas radiografias pré-operatórias. Geralmente, quanto maior a flexibilidade, maior o grau de correção. Escolioses em pacientes mais jovens costumam ser mais flexíveis, permitindo maior correção.
A medicina aliada à tecnologia avançou muito nessa área, tanto no tratamento clínico preventivo como no procedimento cirúrgico.
Apesar da longa duração da cirurgia, com todos os exames pré-operatórios realizados, o paciente anestesiado e estável, tem-se um quadro favorável para a realização do procedimento pelo tempo que for necessário.
Como é a recuperação da cirurgia de escoliose?
A recuperação da cirurgia de escoliose durante a internação hospitalar segue um protocolo de reabilitação precoce.
No dia seguinte à cirurgia, o paciente já pode sentar na cama e levantar no quarto, conforme tolerado. É comum sentir um desconforto e dor (deve diminuir ao longo da recuperação) e medicamentos serão ministrados para melhorar o conforto do paciente.
No segundo dia após a cirurgia, é iniciado o treino de marcha efetivo (andar no corredor do hospital), propriocepção e exercícios de fisioterapia.
A partir do terceiro dia, se a dor já estiver controlada com analgésicos simples por via oral e o dreno de sucção já tiver sido retirado, começa a ser considerada a alta hospitalar.
É interessante fazer um repouso relativo nos primeiros 7 a 10 dias após a cirurgia de escoliose para a boa cicatrização da ferida operatória e evitar infecções.
Por repouso relativo entende-se andar normalmente, buscar realizar as atividades diárias de forma independente, sem carregar peso ou esforço físico e evitar sair em lugares com multidões.
Não há necessidade do paciente ficar deitado durante o dia. Deitar apenas para dormir ou para um descanso eventual.
O aconselhável é estimular o movimento da coluna sem exageros, respeitando-se o limite da capacidade física, para a otimização da recuperação.
Nesse período é importante a observação da cicatrização da pele e tomar as medicações analgésicas por via oral, conforme a indicação médica.
Avaliações periódicas no consultório são necessárias.
Como fica a qualidade de vida após a cirurgia de escoliose? É possível retornar aos esportes?
Os pacientes que realizam uma cirurgia de escoliose têm vida normal após uma consolidação óssea sólida e sem complicações. Realizam todas as atividades diárias e exercícios.
Entretanto, para retornar aos esportes e atividades físicas com peso e impacto, é preciso ter certeza que a artrodese está consolidada (fusão óssea sólida do segmento da coluna operado).
O tempo médio desta consolidação é de 4 a 6 meses e é acompanhado mensalmente por seu médico com exames de imagem nas consultas regulares após a cirurgia de escoliose.
Considerações para quem realizar a cirurgia de escoliose
Decidir por uma intervenção cirúrgica complexa pode trazer temor. É imprescindível que se realize com o profissional de confiança.
Para isso ser estabelecido, é importante que essa relação seja construída ao longo de um tratamento em que o médico acompanhou todo histórico e evolução.
Assim, o paciente sente-se mais seguro e assistido em realizar a cirurgia pelo profissional conhecido.
Discuta bem o assunto com seu médico, esclareça todas as dúvidas e expectativas.
Cirurgia de Escoliose é um procedimento de grande porte que deve ser bem programada e aceita pelo paciente de forma tranquila e segura.
O melhor é consultar um médico especialista em coluna para fazer uma avaliação global do seu caso.
Para dúvidas sobre cirurgia de escoliose e mais esclarecimentos, agende uma consulta com o médico ortopedista e cirurgião especialista em coluna Dr. Luciano Pellegrino.
Agende uma Consulta com Especialista em Coluna
PRESENCIAL OU ONLINE
Publicações científicas:
Sociedade Brasileira de Coluna – https://www.coluna.com.br/
AO SPINE – https://aospine.aofoundation.org/
Sociedade norte americana de cirurgia de coluna – https://www.spine.org/

Deixe um comentário