fratura na coluna

FRATURA NA COLUNA

Fratura na Coluna

A fratura na coluna vertebral geralmente ocorre após traumatismos de alta energia, como quedas de altura, acidentes automobilísticos, etc.

Elas também podem ocorrer sem traumatismo importante em pacientes que apresentam condições que enfraquecem os ossos (ex.: osteoporose, doenças ósseas metabólicas e neoplasias).

O local mais comum de fraturas é a região tóraco-lombar (T12-L1) por ser um local de transição entre uma região mais rígida (coluna torácica) e uma região mais móvel (coluna lombar). Nos pacientes politraumatizados e em traumas de alta energia, é muito comum haver lesões associadas (pulmonares, abdominais e outras fraturas).

Quais são os tipos de Fratura da Coluna?

Os tipos de fraturas da coluna são divididos de acordo com os mecanismos de trauma em: fraturas por compressão, explosão, flexão-distração, e fratura-luxação. Outros termos que o seu médico pode usar para descrever uma fratura incluem “estável” e “instável”. A estabilidade da fratura é importante na decisão do tratamento e é determinada por alguns parâmetros clínicos e radiográficos.

Fratura por Compressão

fratura na coluna
Este tipo de fratura é muito comum em pacientes com osteoporose, ou pacientes em que os ossos foram enfraquecidos por outras doenças (como neoplasias). Normalmente são fraturas por insuficiência óssea e sem traumatismo significativo. Uma fratura em “encunhamento” é um subtipo de fratura de compressão. Nesse subtipo, a parte anterior (frontal) da vértebra achata e não há comprometimento da estabilidade.

Fratura por Explosão

fratura na coluna

Essa fratura geralmente é causada por traumatismo mais significativo (por exemplo, acidente de carro). Ela acontece quando a vértebra é esmagada por forças axiais. Em uma fratura explosão, a vértebra é fraturada em vários lugares (pelo menos 2 colunas das 3 colunas de Denis – veja explicação abaixo). Em alguns casos, fragmentos ósseos podem comprimir o canal vertebral onde está a medula espinhal e raízes nervosas. Esse tipo de fratura gera maior instabilidade.

Fratura por Flexão-Distração

fratura na coluna
Essa é uma fratura típica em acidentes automobilísticos, quando corpo é projetado bruscamente para frente. Sua coluna é flexionada rapidamente para frente e em seguida faz um movimento de desaceleração gerando o mecanismo combinado de flexão-distração. Esse tipo de lesão, além de ser causada por traumatismos de alta energia, geralmente lesa os ligamentos da coluna além da parte óssea. Normalmente são lesões instáveis.

Fratura por Luxação

fratura na coluna
O termo luxação significa que houve um desalinhamento significativo da coluna. Portanto, na fratura-luxação além da lesão óssea existe uma combinação de “deslocamento” da coluna. São lesões muito instáveis e de alta energia. Geralmente são as lesões traumáticas mais graves na coluna vertebral.
Para entendermos melhor os tipos e gravidades das fraturas, é importante sabermos o conceito das “3 colunas de Denis”.

Classificação de Denis - o conceito de três colunas

Analisando a coluna vertebral de perfil (olhando de lado), podemos dividí-la em 3 colunas.
fratura na coluna

Coluna anterior

Esta é a parte da frente da vértebra. A coluna anterior é a metade da frente do corpo da vértebra e do disco intervertebral. Há um ligamento na parte da frente da coluna vertebral chamado ligamento longitudinal anterior que também faz parte dessa coluna.

Coluna média

Esta é a parte fundamental da estabilidade da coluna vertebral. É a metade de trás do corpo vertebral e disco intervertebral. Há um ligamento na parte posterior do corpo vertebral chamado ligamento longitudinal posterior; que também faz parte da coluna média. Se há uma fratura na coluna média associada a coluna anterior, a lesão é mais instável.

Coluna posterior

Todas as partes da vértebra que estão atrás da coluna média compõe a coluna posterior. Isso inclui os pedículos, lâmina, articulações e processo espinhoso.

O conceito de três colunas faz com que seja mais fácil de visualizar a extensão e gravidade da fratura da coluna. Por exemplo, se a fratura só afeta a coluna anterior, a estabilidade da coluna vertebral pode ser suficiente para sustentar o peso do corpo. Quando as outras colunas estão fraturadas, já existe algum grau de instabilidade.

O que são fraturas estáveis e instáveis?

As fraturas estáveis geralmente não causam deformidade da coluna vertebral ou lesões neurológicas associadas. São fraturas que permitem um tratamento conservador e não invasivo.

Já as fraturas instáveis, são lesões que determinam uma deformidade significativa na coluna (cifose, perda de altura, lesão ligamentar, etc…) ou determinam algum déficit neurológico associado (compressão do canal por fragmento, lesão radicular, etc…). As fraturas instáveis têm chance de progredir e causar mais danos. Nesses casos, normalmente o tratamento conservador não consegue restaurar a função normal da coluna vertebral.

Quais são os sintomas da Fratura na Coluna?

Os sintomas das fraturas da coluna vertebral e a gravidade da apresentação clínica variam de acordo com o tipo e localização da fratura. Os sintomas também estão relacionados à presença ou não de acometimento das estruturas neurológicas.

É muito importante passar em avaliação médica após um acidente de alta energia como uma colisão automobilística, pois na suspeita de fratura da coluna muitas lesões associadas podem estar presentes.

O sintoma mais comum e inicial geralmente é a dor local ou até inchaço na região da coluna vertebral.

Se a fratura vertebral está comprimindo um nervo ou a medula espinhal, você pode ter sintomas neurológicos, tais como:

  • Fraqueza nos braços ou pernas
  • Dormências
  • Dor irradiada para algum membro (radiculopatia)
  • Problemas no intestino/bexiga (retenção ou incontinência)
  • Dificuldade para andar

As fraturas da coluna vertebral que apresentam complicações neurológicas são consideradas graves, por isso, se você tiver qualquer um dos sintomas neurológicos acima, mesmo sem dor, é fundamental consultar um médico o mais rapidamente possível.

Nas fraturas por compressão devido a osteoporose, muitas vezes podem ocorrer múltiplas fraturas e poucos sintomas. Nesses casos o diagnóstico pode ser tardio e o paciente já pode apresentar algum grau de deformidade em cifose (corcunda na coluna).

Quais os exames para o diagnóstico de uma Fratura na Coluna?

Primeiramente é importante uma boa avaliação médica com história clínica detalhada do início e mecanismo da lesão.

O exame físico realizado pelo seu médico irá determinar a necessidade ou não de exames complementares.

Quando há necessidade de complementação com exames de imagem, os mais importantes são as radiografias, tomografia e ressonância magnética.

As radiografias simples permitem visualizar bem as estruturas ósseas, alinhamento da coluna e integridade dos corpos vertebrais.

A tomografia permite um maior detalhamento dessas estruturas ósseas e pode ser solicitada na dúvida diagnóstica, na avaliação de estabilidade ou no acompanhamento do tratamento.

Já a ressonância magnética, permite melhor visualização de estruturas neurológicas, ligamentares e discais. A ressonância também auxilia na diferenciação entre fraturas agudas e crônicas.

A maioria dos casos podem ser diagnosticados e adequadamente tratados apenas com radiografias simples, principalmente fraturas estáveis e sem comprometimento neurológico.

Entretanto, a correta indicação dos exames e necessidade ou não de estudos adicionais deve ser individualizada para cada paciente e determinada pelo médico assistente.

Quais são os tipos de tratamentos para a Fratura na Coluna?

Medicações

O uso de medicações analgésicas, anti-inflamatórias e relaxantes musculares é importante na fase aguda devido à presença de mediadores inflamatórios na região da fratura. As medicações permitem maior conforto para o paciente até que haja consolidação óssea e resolução do processo inflamatório. Normalmente o tratamento medicamentoso é prescrito por pouco tempo e deve ser adequadamente ajustado por um médico.

Coletes

Os coletes são muito importantes no tratamento de fraturas estáveis e sem critérios de indicação cirúrgica. Existem diversos modelos de colete para coluna de acordo com o nível da fratura e devem ser ajustados sob medida para cada paciente. Geralmente os coletes são mantidos até a consolidação completa da fratura.

fratura na coluna

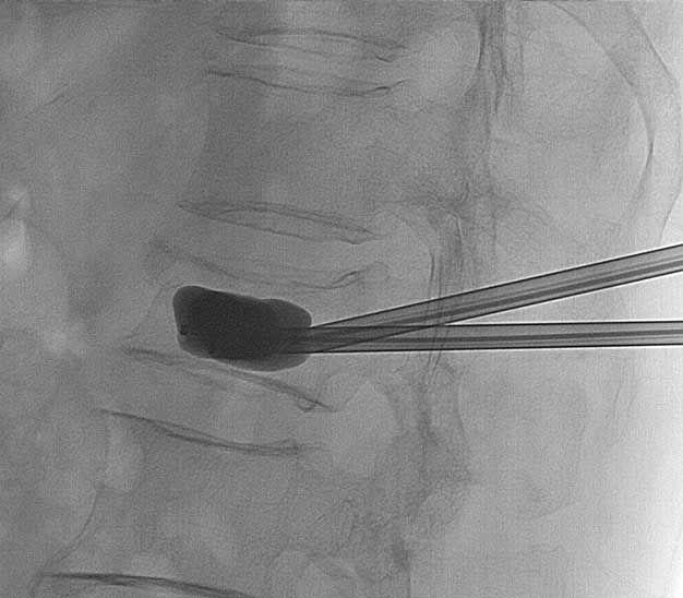
Cirurgia

O tratamento cirúrgico para as fraturas da coluna é reservado para uma minoria dos casos. Ele está indicado nas lesões instáveis ou que apresentam lesão neurológica associada. Existem diversas opções de tratamento cirúrgico, desde procedimentos minimamente invasivos (fixações percutâneas, cifoplastia, etc…) até procedimentos abertos tradicionais (artrodese anterior, artrodese posterior, etc…). O tipo de tratamento cirúrgico necessário para cada caso deve ser indicado por um  médico especializado.

fratura na coluna cifoplastia

Como funciona a recuperação após a cirurgia da coluna?

Após o procedimento, a recuperação dependerá da extensão da cirurgia, uma vez que isto é avaliado pelo ortopedista de coluna durante o acompanhamento inicial do paciente.

Caso seja minimamente invasiva, o processo de reabilitação consiste em sessões de fisioterapia para a recuperação de força muscular, além de trabalhos posturais, que auxiliem no dia a dia do paciente.

No entanto, em cirurgias com um grau mais elevado de complexidade, é preciso de um período de repouso, assim como a avaliação mensal de um ortopedista de coluna, combinada com o acompanhamento fisioterapêutico para a reabilitação correta.

Publicações científicas:

Sociedade Brasileira de Coluna – https://www.coluna.com.br/

AO SPINE – https://aospine.aofoundation.org/

Sociedade norte americana de cirurgia de coluna – https://www.spine.org/

Foto de Dr. Luciano Pellegrino

Dr. Luciano Pellegrino

Médico Ortopedista Especialista em Coluna com Mestrado em Ortopedia e Traumatologia pela Faculdade de Ciências da Santa Casa de São Paulo. É Especialista em Cirurgia da Coluna Vertebral e Médico do Núcleo de Coluna do Hospital Sírio Libânes.

Deixe um comentário

O seu endereço de e-mail não será publicado. Campos obrigatórios são marcados com *