Coluna do Atleta

A coluna do atleta

O aumento do número de adultos e adolescentes que participam regularmente em atividades físicas aumentou a consciência dos atletas para as lesões da coluna vertebral. Felizmente, a maioria das dores da coluna causadas pela atividade física não ameaçam a continuidade no esporte.

Entretanto, quando estão presentes lesões maiores (ex.: hérnia de discoespondilolise/ espondilolistesefraturas, etc), alguns cuidados devem ser tomados.

Para o atleta amador e até o atleta “de final de semana”, o aumento inadequado ou desproporcional da intensidade do exercício pode ocasionar problemas na coluna vertebral.

Para os atletas profissionais, que dependem de alta performance, o preparo muscular para evitar lesões deve ser muito maior. Além disso, é fundamental a manutenção regular do treinamento para evitar lesões e queda de rendimento.

Falaremos aqui de algumas lesões frequentes na coluna vertebral do atleta.

A prevalência de dor na coluna vertebral é quase 80%, sendo que quase 30% dos atletas acabam experimentando dor lombar aguda em algum momento do esporte.

O tipo de lesão varia com a idade. Quase 70% das lesões da coluna lombar em adolescentes atletas, os quais ainda possuem esqueleto imaturo, podem ocorrer nos elementos posteriores da coluna.

Já nos atletas adultos, a maioria das lesões estão relacionados com distensões/ contraturas musculares e problemas nos discos intervertebrais.

Algumas características anatômicas, bem como o tipo de esporte praticado, podem dar indícios da probabilidade de um atleta ter lesão na coluna vertebral.

Atletas que têm troncos longos e membros inferiores menos flexíveis são mais propensos a lesão da coluna lombar. A reabilitação motora visa corrigir esses problemas quando possível.

Esportes que envolvem hiperextensão repetitiva, carga axial (saltar), torção do tronco ou contato direto, apresentam riscos mais elevados de lesões na coluna.

As taxas de lesões são mais elevadas nos jogadores de futebol, ginastas, lutadores, e remadores. Em um estudo que avaliou 4790 atletas universitários, a incidência de lesões da coluna lombar foi de 7%; a maioria eram jogadores de futebol ou ginastas.

Curiosamente, 80% das lesões lombares ocorreu durante a prática, 14% durante a pré-temporada e 6% durante a competição real. Um pouco mais do que 50% dessas lesões eram de agudas.

As forças exercidas sobre os segmentos de movimento lombar são regidos pela lordose natural deste segmento da coluna vertebral; como resultado, as forças axiais estão dirigidas tanto horizontalmente como perpendicularmente ao disco.

Quando a distância do centro de gravidade para a coluna vertebral é considerada, o centro de gravidade é anterior à coluna vertebral lombar, colocando a maior parte da força de resistência sobre os músculos eretores da espinhafáscia dorsolombar, e glúteos. O eixo de rotação está perto do centro do disco em lordose normal e move-se para trás em extensão.

O ânulo fibroso do disco (a capa que envolve o disco intervertebral) e elementos posteriores da coluna podem suportar diferentes forças de tensão e compressão e forças de cisalhamento. Já os tecidos moles posteriores (músculos e ligamentos) podem suportar considerável estresse em resistência. Estas forças são encontrados em diferentes graus em todos os esportes.

Tipos de Lesões Comuns na Coluna do Atleta

Lesões em tecidos moles

Entorses e distensões musculares na coluna são extremamente comum. O termo “entorse” refere-se a danos ligamentar, enquanto que uma “distensão” representa um problema no músculo ou tendão.

Na região da coluna, os sintomas desses tipos de lesões são semelhantes e se apresentam na forma de dor na musculatura paravertebral, sem sintomas neurológicos.

Os sintomas pioram à flexão (edema/sobrecarga dos ligamentos), torção e carga axial. Os pacientes podem relatar dor que irradia para os quadris, o que pode ser um sinal de espasmo da fáscia dorsolombar extendendo o tensor da fáscia lata.

Os sinais físicos podem incluir hematomas no local ou aumento de volume por contraturas musculares.

Contusões mais intensas devem ser investigadas pela possibilidade de fraturas ou até lesão renal.

Nos casos mais leves a investigação com imagens (raio-x, ressonancia, etc) geralmente não é necessária. Daí a importância de uma avaliação médica para determinar a conduta mais apropriada.

Esses pacientes geralmente são tratados sintomaticamente com medicações, repouso, massagem, acupuntura e técnicas de fisioterapia.

Uma boa reabilitação deve incluir os ajustes mecânicos necessários e ênfase no fortalecimento da musculatura coreflexibilidade dos membros inferiores, e aumento da amplitude de movimento global.

O atleta com um entorse ou uma distensão muscular pode retornar ao esporte quando os sintomas diminuem e a amplitude de movimento global completa é restaurada sem limitações.

Hérnia de Disco

Em muitos casos, os sintomas relacionados a uma hérnia de disco começam durante o treinamento com pesos ou durante um movimento; em outros, o início é mais insidioso e é provavelmente o acúmulo de múltiplas lesões menores.,/p>

Atletas expostos a considerável carga axial, flexão e rotação, que ocorrem durante o levantamento de peso (e esportes que exigem trabalho pesado na competição ou treinamento) e esportes de impacto podem ter taxas mais elevadas de hérnia discal.

Os sintomas podem aparecer de forma sutil, com dor nas costas e espasmos, com pouco ou nenhum componente radicular (dor irradiada para o membro), embora a radiculopatia é freqüentemente presente.

Em muitos casos ocorre ruptura do disco (fissura do ânulo fibroso) sem necessariamente formar uma hérnia.

O exame físico da hérnia de disco, às vezes, pode revelar escoliose leve ou unilateral. A avaliação médica e estudos com imagens são muito importantes quando existe suspeita de hérnia de disco ou dor persistente.

As condutas de tratamento são mais difíceis no atleta de elite, porque a pressão para voltar a jogar é confrontada com as altas taxas de sucesso do tratamento conservador da hérnia discal.

Há indicação absoluta para a cirurgia da coluna no atleta com hérnia de disco, como em demais pacientes, quando apresentam síndrome da cauda eqüina e déficit neurológico progressivo.

Indicações relativas incluem dor e incapacidade persistente a ponto de impedir a competição atlética. Essa última situação deve receber atenção especial; o limiar para a intervenção cirúrgica no atleta de elite é menor se hérnia de disco é uma limitação ao retorno à competição.

Se a dor é considerável e há opções conservadoras inadequadas para permitir que o atleta retorne para o desempenho em tempo hábil aceitável para todas as partes envolvidas, a cirurgia pode ser considerada.

abordagem cirúrgica à hérnia de disco é guiada pelo princípio que a ruptura do tecido deve ser minimizada para que o atleta possa retornar ao seu nível pré-lesão da mesma forma e o mais rapidamente possível.

Sempre que possível, a microdiscectomia ou discectomia endoscópica são as técnicas de escolha. Em ambas as técnicas, uma pequena incisão de 1,5 a 2 cm pode retirar a hérnia e resolver os sintomas.

fisioterapia pós-operatória é um fator determinante para determinar o tempo que o atleta pode voltar a jogar.

Como sempre, a segurança do atleta é fundamental: a sua longevidade no esporte e a função que o jogador terá após a sua carreira de atleta deve ser considerada.

Um programa de reabilitação pode ser diferente se a lesão ocorre no final de uma temporada ou no meio dela.

fortalecimento da musculatura core e aumento da flexibilidade com ganho de amplitude de movimento são a base da maioria dos programas.

Os atletas podem voltar a jogar depois de um tempo suficiente para a recuperação, quando os sintomas são mínimos ou inexistentes. Esta decisão é tomada conjuntamente pelos atletas e profissionais de saúde.

É preferível que o atleta siga o curso padrão de reabilitação após a cirurgia da coluna, e apenas retorne depois de um tempo adequado para que a chance de novas lesões sejam minimizadas.

Coluna do atleta

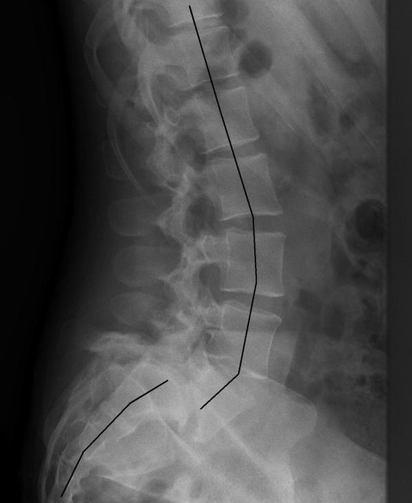
Defeitos da Pars - Espondilólise e Espondilolistese

Espondilólisee espondilolistese são lesões da coluna lombar relativamente comuns em atletas e geralmente ocorrem no segmento lombar (L5-S1) em atletas jovens envolvidos em esportes com hiperextensão repetitiva e carga axial.

De fato, quase 40% dos atletas com dor nas costas com duração de mais de 3 meses apresentam alterações das pars interarticularis na coluna lombar.

Os jogadores de futebol e ginastas são particularmente suscetíveis, porque ambos os esportes envolvem graus enormes de hiperextensão e carga axial.

Até 15% dos jogadores de futebol universitários podem ter espondilólise, ao passo que os ginastas podem ter uma incidência de 11% desse problema.

Os defeitos da pars interarticularis são mais comuns em atletas adolescentes em comparação com adultos.

As crianças entre as idades de 9 e 15 anos que participam de competições atléticas estão em maior risco de progressão.

Os sintomas apresentados são dor lombar exacerbada por extensão, geralmente, sem irradiação.

Em casos de escorregamento grave, um abaulamento pode ser palpável; caso contrário, o exame físico pode revelar contraturas e espasmo muscular lombar. Exames de imagem devem incluir radiografias e tomografia computadorizada. O grau de deslizamento, se for o caso, pode ser determinado utilizando as radiografias.

A tomografia computadorizada é a modalidade de escolha para definir a arquitetura óssea das pars. O uso de PET-Scan pode permitir a detecção de fraturas “stress” ocultas e agudas se filmes de raio-x simples não revelarem um defeito.

Os objetivos do tratamento do atleta com defeitos pars são o alívio da dor e prevenção da progressão e instabilidade.

Tratamento não cirúrgico de defeitos pars sintomáticos depende do grau de escorregamento.

Em pacientes com escorregamentos de baixo grau, o ideal é um período de restrição de atividades até que a dor diminua, seguido de retomada gradual da atividade.

As radiografias devem mostrar cicatrização do defeito em cerca de três meses; um PET-Scan pode ajudar a avaliar o grau de cicatrização se radiografias simples forem duvidosas.

Após a diminuição do quadro doloroso, ações voltadas ao fortalecimento muscular CORE, flexibilidade de membros inferiores, e aumento da amplitude de movimento podem ser retomadas.

Atletas com escorregamento de baixo grau geralmente podem voltar à competição depois de um programa de reabilitação agressivo.

Tal como no não atleta, atletas com escorregamentos de alto grauescorregamentos progressivos, ou sintomas refratários ao tratamento conservador são considerados candidatos à cirurgia.

Considerando escorregamentos de baixo grau, pode ser abordado pela fusão direta do defeito da pars, com taxas favoráveis para o retorno de atletas para jogar em esportes sem contato.

A artrodese da articulação afetada é geralmente realizada para espondilolistese de alto grau.

Coluna do atleta

Fraturas menores

As fraturas que podem causar instabilidade espinhal são incomuns.

Podem ocorrer nos esportes de impacto e de alta velocidade, tais como corridas de automóveis e esqui.

Em outros esportes de contato, em que o atleta está exposto a golpes diretos, rotação forçada, flexão e compressão, fraturas dos processos transversos, processos espinhosos, facetas, corpos vertebrais, e placas terminais podem ocorrer.

A maioria dos indivíduos com fraturas agudas apresentam-se com dor nas costas imediatamente após a lesão. Na maioria dos casos, os resultados do exame neurológico são normais.

Coluna do atleta

As fraturas menores são geralmente conduzidas de forma conservadora, porque a estabilidade da coluna vertebral não está ameaçada.

O atleta com uma fratura do processo transverso e/ ou processo espinhoso pode retomar a plena atividade quando os sintomas desaparecerem e a amplitude de movimento completa retornar.

Fraturas por compressão leves podem ocorrer em levantadores de peso, geralmente região anterior do corpo vertebral, que é mais susceptível devido a menor quantidade de trabeculações ósseas horizontais.

Exercícios como o agachamento envolvendo flexão repetitiva e compressão dos corpos vertebrais lombares podem levar à fratura da placa terminal, colapso do disco ou fratura leve do corpo vertebral.

Uma vez tratadas, essas atividades devem, posteriormente, serem restringidas para reduzir os riscos de recorrência.

Como a maioria das fraturas são estáveis, os atletas podem retornar à atividade quando os sintomas e alterações radiológicas compressivas forem resolvidas.

Conclusão

Atletas em todos os níveis de competição podem ter lesões na coluna vertebral.

Os objetivos do tratamento incluem alívio dos sintomas e recuperação de força e flexibilidade, de modo que a plena participação em esportes poderá ser retomada.

Quando é necessária a cirurgia da coluna, são preferidos os procedimentos minimamente invasivos.

Uma reabilitação agressiva pode acelerar o retorno do atleta ao esporte.

Publicações científicas:

Sociedade Brasileira de Coluna – https://www.coluna.com.br/

AO SPINE – https://aospine.aofoundation.org/

Sociedade norte americana de cirurgia de coluna – https://www.spine.org/

Foto de Dr. Luciano Pellegrino

Dr. Luciano Pellegrino

Médico Ortopedista Especialista em Coluna com Mestrado em Ortopedia e Traumatologia pela Faculdade de Ciências da Santa Casa de São Paulo. É Especialista em Cirurgia da Coluna Vertebral e Médico do Núcleo de Coluna do Hospital Sírio Libânes.

Deixe um comentário

O seu endereço de e-mail não será publicado. Campos obrigatórios são marcados com *